La endodoncia o tratamiento de conductos de un diente consiste en la eliminación total del tejido orgánico (pulpa dental) que hay en el interior del diente mediante la limpieza exhaustiva e instrumentación de los conductos radiculares. Finalmente, estos conductos serán rellenados y sellados con un material biocompatible y con propiedades adecuadas, garantizando un sellado hermético del mismo que evite su colonización bacteriana e infección.

Endodoncia y reconstrucción de un diente

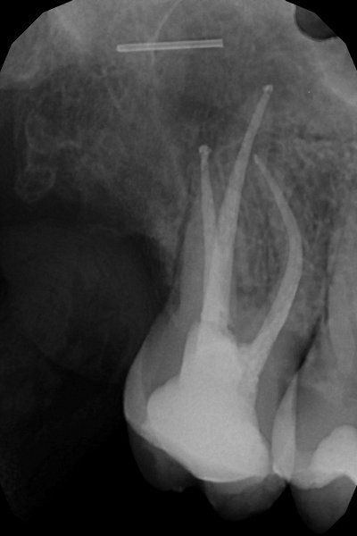
Radiografía de un diente endodonciado. Clínica Dental Fernández León

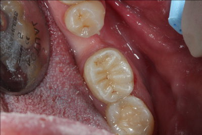
Caso práctico de endodoncia. Clínica Dental Fernández León Caso práctico de endodoncia. Clínica Dental Fernández León

Preguntas frecuentes sobre Endodoncia



¿Cuál es el objetivo de una endodoncia?

Mediante un correcto tratamiento de conductos conseguiremos que un diente, inicialmente afectado, mantenga su función dentro de la boca permaneciendo asintomático, es decir, sin que presente dolor espontáneo o al masticar, evitando así la extracción del mismo.


¿De qué manera se manifiesta un diente con el nervio pulpar dañado?

Aunque cada persona puede experimentar unos síntomas distintos y manifestarlos de una manera diferente, comúnmente el daño de un nervio pulpar se manifiesta de la siguiente forma:

  • Dolor en los dientes al masticar.
  • Hipersensibilidad dentaria ante bebidas frías o calientes.
  • Hinchazón de la zona cercana al diente.

A pesar de ser síntomas que pueden presentarse con claridad, corresponde a su dentista establecer el diagnóstico definitivo mediante pruebas de vitalidad específicas y pruebas complementarias como radiografías.


Acerca de una endodoncia...

A pesar de ser un tratamiento cuya predecibilidad ha aumentado mucho en los últimos años gracias a las nuevas tecnologías, no está exento de complicaciones, y en muchos casos no están relacionadas con una correcta ejecución del mismo.

De ninguna manera puede garantizarse su mantenimiento con el paso de los años aunque su éxito suele ser muy alto.

De vital importancia será la restauración del diente endodonciado. Una vez finalizada la endodoncia, será necesario devolver al diente su anatomía original, para lo que deberán aplicarse distintos tratamientos restauradores tales como obturaciones, colocación de pernos intrarradiculares, incrustaciones de composite o porcelana, o incluso coronas de recubrimiento total, a fin de evitar la fractura del mismo.