Técnica conservadora. Clínica Dental Fernández León

SON LÁMINAS RELATIVAMENTE FINAS

Se adhieren a la superficie de los dientes permitiendo cambiar su forma, color o posición, consiguiendo así mejorar el aspecto estético.

La dentina. Clínica Dental Fernández León

TÉCNICA CON RESULTADOS MUY FAVORABLES

En la actualidad, constituyen una técnica con resultados clínicos y estéticos muy favorables, con una agresión mínima para el tejido dentario.

Personalización. Clínica Dental Fernández León

FUNDAS O CORONA DE RECUBRIMIENTO

Cuando un diente está muy deteriorado, y para conseguir una mayor resistencia del mismo ante las fuerzas de la masticación es necesario colocar una funda o corona de recubrimiento total.

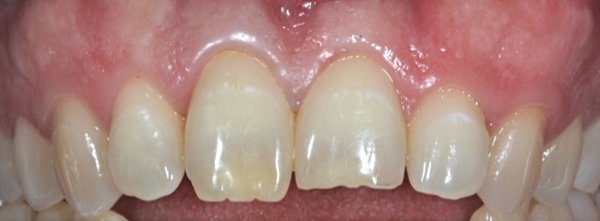
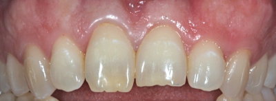
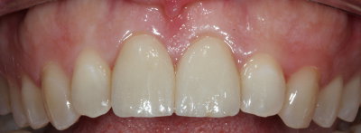
Instauración de carillas de porcelana

Caso práctico. Carillas de porcelana. Clínica Dental Fernández León Caso práctico. Carillas de porcelana. Clínica Dental Fernández León
Caso práctico. Carillas de porcelana. Clínica Dental Fernández León Caso práctico. Carillas de porcelana. Clínica Dental Fernández León

Preguntas frecuentes sobre carillas de porcelana



¿Qué defectos de los dientes se pueden corregir con las carillas y coronas?

  1. Dientes que han perdido su color natural y están teñidos por un tratamiento endodóntico previo, por tinciones de origen medicamentoso (tetraciclinas) o tinciones originadas por un traumatismo en los que el blanqueamiento no resulte del todo satisfactorio.
  2. Corrección de tamaño y forma en dientes cuya morfología no es la ideal. Este es el caso de dientes demasiado cortos, dientes estrechos y afilados (incisivos laterales conoides) o dientes que simplemente se han fracturado.
  3. Corrección de malposiciones dentarias moderadas siempre que este problema no pueda ser solucionado mediante tratamiento de ortodoncia.
  4. Cierre de diastemas o espacios interdentales (separación entre dientes).
  5. Dientes anteriores que a lo largo del tiempo han ido recibiendo empastes, y estos no ofrecen buen resultado estético, o bien suelen caerse y fracturarse con frecuencia debido a su gran tamaño.

¿Qué debo hacerle a mis dientes para poder llevar carillas de porcelana?

Actualmente, la colocación de carillas de porcelana supone un tratamiento muy conservador y poco invasivo, es decir, con poco riesgo y coste biológico para nuestros dientes.

Es fundamental comenzar con un estudio meticuloso de la cara y estética de la sonrisa, que normalmente implica hacer radiografías, fotografías así como modelos de estudio. Con toda esta información el clínico, en colaboración con su protésico dental, diseñará una sonrisa de aspecto natural y satisfactorio para el paciente.

A continuación, hay que preparar cada uno de los dientes a los que se colocarán las carillas de porcelana. Para ello es necesario tallar o eliminar una fina capa de la cara labial o frontal de cada diente (de 0,3 a 0,5mm), generando así un espacio que será ocupado por la carilla, garantizando que el diente conserve su tamaño original.

El siguiente paso consiste en tomar impresiones con materiales de registro de alta precisión, que proporcionarán a los técnicos de laboratorio un modelo de trabajo donde confeccionar las carillas, mediante un exhaustivo y novedoso sistema de inyección de porcelana.

Mientras confeccionan las carillas, se colocarán sobre los dientes, ya tallados, unas carillas provisionales, normalmente de resina, que finalmente se retirarán al colocar las definitivas.

Por último, el día de la colocación habrá que retirar estas carillas provisionales, para proceder a limpiar y desinfectar bien la superficie del diente, y garantizar así una adhesión duradera entre la carilla y el diente.


¿Qué ocurre si se me rompe o se me cae alguna carilla?

Realmente esta es una situación poco probable, pero en el caso de que se rompa una carilla, únicamente habría que volver a diseñar y confeccionar una nueva, volviendo a adherirla al diente en las mismas condiciones. Si solamente se despega, habrá entonces que volver a cementarla sin más consecuencias.


¿Cuánto duran las carillas de porcelana?

Es muy difícil precisar la duración de este tratamiento. Depende de factores individuales, como hábitos de cada paciente (tabaco, apretamiento de los dientes o bruxismo) así como la higiene bucal diaria y mantenimiento de las mismas, siendo de especial importancia en este sentido cumplir con las citas propuestas por su dentista para revisarlas a lo largo del tiempo.